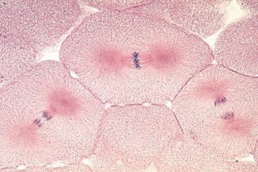
Slide, Whitefish Mitosis, sec.